
Effective Home Remedies to Treat Cavities
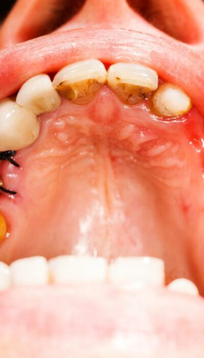
Caries, the other word for cavities, can be defined as the small holes or openings in the teeth that are a result of decaying tooth. To be able to know as to how to treat cavities, first, it’s important to know the causes of cavities. Cavities are a result of plaque and bacteria that builds its home on the teeth’s surface. Also, one who does not follow a good dental hygiene and does not have enough minerals in the diet is prone to having cavities in their teeth. When learning about how to treat cavities, it is important to note that most of them are irreversible and would require immediate attention. It is best to get cavities checked by a dentist and ask if you need fillings, fluoride treatments, or extractions. But, in some cases, cavities can be treated at home by using a combination of good diet and tooth re-mineralization. In this article we will discuss how to treat cavities at home along with some preventive measures that can be taken to prevent cavities in the first place itself. In order to be able to treat cavities, it is important to be aware of the signs& symptoms of cavities. Once you have recognized the following signs, commence the treatment without further delay. This will help you save your tooth and will also help get rid of the constant pain and sensitivity that one experiences if he or she has cavities. Following are the symptoms of cavities Be subjected to toothache or sensitivity. Experiencing mild to sharp pain while eating or drinking something hot or cold. Experiencing pain while biting food. Dark-stained pits and holes on the tooth/teeth. Breaking or chipping of the teeth, thus exposing a black inner surface. Bad taste in the mouth. Bad breadth even after brushing.










